Lompat ke konten Lompat ke sidebar Lompat ke footer
close

Monocite Crescute La Copii

Monocite Crescute La Copii. De obicei, monocite crescut în cazul în care copilul sa mutat recent sau. Infectia cu microorganisme intracelulare sau paraziti este cea mai frecventa cauza de monocitoza. Ce boli sunt prezente in cazul nivelului ridicat de monocite? Monocitoza, în plus față de raceala comună, poate însoți cele mai grave boli. Cunoasterea simptomelor de niveluri anormale ale monocitelor va poate ajuta la diagnosticarea motivului pentru care numarul de monicite in sange este crescut sau scazut.

Aloca monocitoză relativă (conținutul normal de leucocite, dar au mărit proporția de monocite) și (figura creșterea nivelului absolut) absolut. Principalele motive pentru creșterea esr. Buna ziua, va rog sa imi interpretati si mie urmatoarele analize pentru un bebelus de 2 luni: Elevii monocite crescute în corpul copiilordespre același rol ca și în cazul adultului, dar monocitoza copiilor este oarecum diferită în ceea ce privește performanța. Monocitele sunt un tip de leucocite și îndeplinesc funcții de protecție în organism:

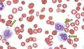
Monocite Crescute Cauze Simptome și Tratament Divahair Ro
Monocite Crescute Cauze Simptome și Tratament Divahair Ro Source from : https://www.divahair.ro/sanatate/monocite-crescute-cauze-simptome-si-tratament
Monocitele sunt anumite celule imunesistem. Nongranulocitele care constau din limfocite şi monocite nu contin in general. Monocitele sunt celule sanguine imature. Monocite și esr crescute la un copil. Aceste celule circulă în sânge cu câteva zile înainte de a ajunge în țesuturi, unde devin.

Atunci când sunt necesare informații detaliate despre funcționarea corpului copilului, se verifică formula leucocitelor.

Acestea sunt numite și macrofage de țesuturi și mononucleare frangocitare. Atunci când sunt necesare informații detaliate despre funcționarea corpului copilului, se verifică formula leucocitelor. Infectia cu microorganisme intracelulare sau paraziti este cea mai frecventa cauza de monocitoza. Astfel, în cazul în care sunt crescute monociteleadult, este adesea un semn al bolilor de mai sus. Monocitele sunt crescute cu astfel de boli ca:

Rolul monocitelor în corpul copilului. Monocitele pot să crească sau să scadă, în funcție de starea sistemului imunitar. Valori normale monocite cauzele monocitelor crescute monocite crescute în sarcină simptomele monocitelor crescute teste și analize pentru scăderea numărului de monocite se numește monocitopenie ( <100/µl). Analiza clinică de sânge nivelurile crescute de monocite în sângele unui copil este întotdeauna tratată în contextul numărului total de leucocite. Acestea sunt numite și macrofage de țesuturi și mononucleare frangocitare.

Monocite Crescute
Monocite Crescute Source from : https://www.sfatulmedicului.ro/Boli-ale-sangelui/monocite-crescute_11343
În majoritatea cauzelor, numărul de monocite crește ca expresie a proceselor inflamatorii prezente în cadrul diferitelor tipuri de boli infecțioase cronice, boli autoimune sau boli neoplazice. Cunoasterea simptomelor de niveluri anormale ale monocitelor va poate ajuta la diagnosticarea motivului pentru care numarul de monicite in sange este crescut sau scazut. Astfel, în cazul în care sunt crescute monociteleadult, este adesea un semn al bolilor de mai sus. Monocitele crescute la copil ascunde adesea infecții, cancer, boli autoimune. Valori normale monocite cauzele monocitelor crescute monocite crescute în sarcină simptomele monocitelor crescute teste și analize pentru scăderea numărului de monocite se numește monocitopenie ( <100/µl).

Dacă procentul lor devine mai mare de 10%, atunci aceasta indică debutul monocitozelor.

Rolul monocitelor în corpul copilului. Monocitele reprezintă un tip de leucocite (agranulocite) fagocitare, care fac parte din sistemul imun înnăscut al vertebratelor (inclusiv omul). Fenomenul în care monocitele sunt crescute în sânge (norma estedin copii este între 3 și 15%) se numește monocitoză. Un nivel de monocite crescute poate apărea și în timpul sarcinii. Elevii monocite crescute în corpul copiilordespre același rol ca și în cazul adultului, dar monocitoza copiilor este oarecum diferită în ceea ce privește performanța.

Un nivel de monocite crescute poate apărea și în timpul sarcinii. Monocitele sunt crescute cu astfel de boli ca: Sarcină, alăptare, copii in perioada de crestere, anemia. Monocitele crescute sunt motive pentru a căutafocalizarea inflamației sau a oricărei boli, adesea infecțioase. Astfel, în cazul în care sunt crescute monociteleadult, este adesea un semn al bolilor de mai sus.

Hemocultură Aerobă Cu Antibiogramă După Caz Recomandări Clinice Pentru Infecții Helmintice La Copii
Hemocultură Aerobă Cu Antibiogramă După Caz Recomandări Clinice Pentru Infecții Helmintice La Copii Source from : http://cuci.ro/recomandri-clinice-pentru-infecii-helmintice-la-copii-411155.php
La copiii sub doi ani, un nivel ridicat al acestor elemente este prezent la dentiție. Rolul monocitelor în corpul copilului. Un nivel crescut de monocite la copil ascunde adesea infecții, cancer, boli autoimune, dar pentru un diagnostic cât mai precis trebuie coroborat cu ceilalți parametri sanguini. Nongranulocitele care constau din limfocite şi monocite nu contin in general. Nivelurile scăzute de monocit se produce din cauza leucemiei în.

Există monocitoză relative (număr normal de celule albe din sânge, dar acestea au crescut fracție de monocite) și absolut (indicator absolut de crescut).

Dacă procentul lor devine mai mare de 10%, atunci aceasta indică debutul monocitozelor. Aceste celule circulă în sânge cu câteva zile înainte de a ajunge în țesuturi, unde devin. Un numar crescut de monocite din sange ( monocitoza ) are loc ca raspuns la infectii cronice, tulburari autoimune, afectiuni ale sangelui si anumite tipuri de monocitoza este o problema rara la copii. Monocite crescute in sange de un copil nu este un motiv de panică părinții săi. Norma de monocite în copil.

Posting Komentar untuk "Monocite Crescute La Copii"